Fracture de Côte

Mr C, pratiquant de MMA, consulte pour une douleur au niveau de la partie antéro-latérale droite du grill costal. La douleur est arrivée suite à un effet de pression sur les côtes lors d’un sparring (combat d’entraînement) où il a entendu un « crack ». Mr C ressent les douleurs à l’inspiration et à l’expiration, présente des douleurs nocturnes lorsqu’il change de position. La douleur est constante et augmentée lors de n’importe quel mouvement rendant les activités de la vie quotidienne pénibles. 

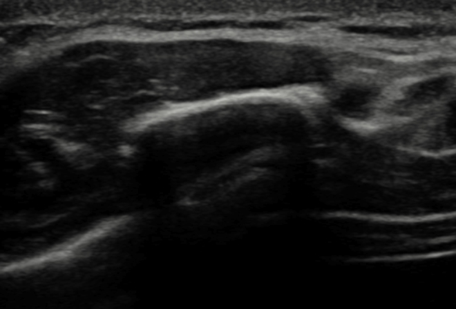
Une échographie a été réalisée au cabinet par Dr Fischhoff montrant : fracture de la jonction chondro-costale au niveau de la 10ème côte. 

Dans ce genre de situation, une échographie est beaucoup plus sensible qu’une simple radiographie. Effectivement, les petites fractures de côtes sont très compliquées à voir à la radiographie tandis qu’à l’échographie elles sont visibles ce qui nous permet d’avoir un diagnostic plus précis et donc un traitement plus adapté. 

Point anatomique : le gril costal ou la cage thoracique ?

La cage thoracique est un ensemble d’os du squelette formant le thorax. Elle est formée en arrière par les 12 vertèbres thoraciques, latéralement par les côtes (également 12) et en avant par le sternum qui est un os plat et allongé situé au centre de la partie antérieure du thorax et prolongé par l’appendice xyphoïde. Les deux dernières côtes, côtes flottantes, ne s’insèrent pas sur le sternum. La cage thoracique est limitée en bas par le diaphragme, qui joue un rôle essentiel dans la respiration. La limite supérieure est formée par le dôme pleural (haut des poumons).

La cage thoracique est recouverte par les muscles intercostaux (situés entre les côtes permettant de relier les côtes entre elles), les muscles pectoraux en avant et par les muscles grands dorsaux et grands dentelés en arrière et latéralement. 

La cage thoracique permet de protéger les organes vitaux comme le cœur et les poumons, ainsi que des gros vaisseaux sanguins (comme l’aorte, artère pulmonaire), la trachée et l’œsophage.

L’ensemble de la cage thoracique est très souple, en raison de sa structure cartilagineuse, et permet des mouvements respiratoires de grande amplitude. 

Qu’est-ce que la fracture de côte ? 

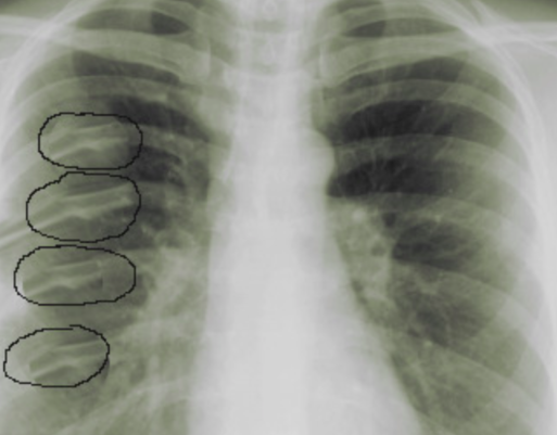
La fracture de côte signifie que la corticale osseuse (la partie la plus externe donc ce qui entoure l’os) est rompue à un endroit donné objectivé soit par radiographie ou par échographie.


 Un exemple de fractures de côtes objectivées par radiographie:

  • Les fractures de côtes sont habituellement liées à une lésion directe de la paroi thoracique, souvent consécutive à un choc violent (ex : par décélération très rapide ou par coup de batte de base-ball ou par chute). Cependant, parfois, chez les patients âgés, un traumatisme léger ou modéré (ex : une chute sans gravité) peut suffire. Si ≥ 3 côtes adjacentes se fracturent au niveau de 2 sites distincts, le segment fracturé provoque la formation d’un volet costal (= multiples fractures de ≥ 3 côtes adjacentes qui se traduisent par un segment de la paroi thoracique séparé du reste de la cage thoracique : c’est un marqueur de blessure du poumon sous-jacent).

    Des lésions du thorax associées peuvent être présentes, notamment les suivantes :

    • Lésion de l’aorte, de l’artère sous-clavière ou un traumatisme cardiaque (rare mais pouvant se voir lors des brusques décélérations, en particulier en cas de fracture de la 1ère ou de la 2e côte),
    • Lésions abdominales ou spléniques (rein) : souvent associées à une fracture de côte de K7 à K12),
    • Lacération ou contusion pulmonaire,
    • Pneumothorax : présence d’air dans les poumons souvent par perforation de la plèvre (feuillet/enveloppe tout autour des poumons)
    • Hémothorax : présence de sang dans les poumons
    • Lésions trachéobronchiques (rares)

    Quels traitements ? 

    Les traitements les plus communs sont la prise de médicaments à visée antalgique (diminuer les douleurs) et le repos. 

    Sur Mr C, nous avons utilisé les techniques suivantes : 

    • Glucopuncture : injection de glucose à 5% (sans effets secondaires) dans les tissus superficiels (juste sous la peau donc sans danger) permettant de catalyser la cicatrisation des tissus ainsi que de désensibiliser, 
    • Ondes de chocs : pour saturer les récepteurs à la douleur (désensibiliser) et pour avoir un effet prolifératif (=initier les processus de réparation afin de remodeler les tissus lésés) 
    • Technique d’électrostimulation péri-neurale périphérique (EIP) afin de désensibiliser les nerfs pour avoir un effet antalgique et améliorer le contrôle musculaire, 
    • Cryothérapie : effet vasomoteur ce qui facilite la récupération. 

    Dans le cas de Mr C, après 3 semaines de traitement la douleur avait disparu laissant place à une légère gêne à la palpation. Et a pu reprendre ces entraînements, de manière progressive, 1 mois après le début du traitement. Puis recommencer à faire des sparrings sans blason de protection 2 mois après. 

    En dehors de tout traitement, la récupération est plus longue (un minimum de 6 semaines) avec possibilité de douleurs  chroniques résiduelles. 

Article rédigé par :

Dr Gautier Tiberi DC, Chiropracteur

Pour garder contact et rester informé de nos articles, inscrivez vous notre newsletter bimestrielle!

pour télécharger l’article au format pdf cliquez ici