Une douleur cervicale pas comme les autres ....

Une patiente de 28 ans nous consulte pour une douleur cervicale basse (base du cou) irradiant entre les omoplates depuis près de 3 mois.

La douleur est apparue à la suite d’une extraction des dents de sagesse sous anesthésie générale. 

Son examen neurologique est normal et le reste de l’examen clinique n’oriente pas vers une souffrance radiculaire (racines des nerfs qui émergent de chaque côté du cou). Il n’y pas de contexte infectieux. Pas d’antécédent médical particulier.

On retrouve une douleur à la flexion cervicale, avec un point douloureux très marqué lors de la palpation inter-épineuse C7 T1. Les apophyses épineuses sont ces petites saillies osseuses que nous pouvons palper sur la ligne médiane de notre cou FIGURE 1. 

FIGURE 1
La douleur est majorée le matin au réveil par les mouvements de flexion. 

Des radiographies préalablement prescrites ne retrouvent aucune anomalie majeure, si ce n’est la présence de côtes cervicales (petites côtes surnuméraires) et d’une rectitude cervicale (l’apparence normale est en forme de « C » dite lordose) .

L’examen échographique (FIGURES 2 et 3) a permis de mettre en évidence la présence d’une bursite interépineuse. Il s’agit de l’inflammation d’une petite structure, jouant le rôle de « coussin » située entre les apophyses épineuses. Cette bourse n’est retrouvée que chez 50% de la population. La bursite peut être retrouvée dans un contexte rhumatismal particulier intéressant les personnes agées. Dans le cas de notre patiente, nous avons émis l’hypothèse que cette petite bourse ait pu s’enflammer du fait des contraintes mécaniques imposées sur son cou lors de l’intervention chirurgicale.

Le traitement à consister à réaliser une électrolyse de la bourse sous guidage échographique, associée des manipulations thoraciques hautes, et à notre approche d ‘Electrostimulation intramusculaire périneurale pour favoriser l’activité musculaire profonde (des petits muscles situés près de la colonne et jouant un rôle majeur dans la stabilité du cou) . La patiente a répondu rapidement favorablement au traitement, puis a suivi un programme d’exercices de réhabilitation.

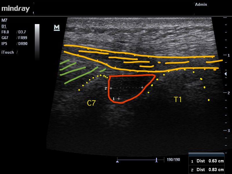
FIGURE 2 . Les pointillés délimitent le périmètre la bourse interépineuse qui apparait comme une zone très hypoéchogène (sombre)
FIGURE 3. La zone orange représentant le supraspinous ligament (discrètement épaissi au niveau de la zone douloureuse). La zone verte le nuchal ligament. Les pointillés jaunes la corticales des apophyses épineuses. La zone rouge la bursite interépineuse. FacebookTwitterEmailPartager

Dr Cyril Fischhoff DC, MSc, FRCC (imaging)

Chiropracteur spécialiste en échographie MSK

pour télécharger l’article au format pdf cliquez ici

Pour garder contact et rester informé de nos articles, inscrivez vous notre newsletter bimestrielle!