Tout sur la calcification de l'Epaule

Les calcifications sont responsables de 15% des épaules douloureuses, et sont alors l’objet de multiples questions de la part nos patients … d’où l’idée de cet article. Vous saurez tout (du moins l’essentiel) sur ce trouble en général assez peu connue des patients mais aussi des soignants. La calcification de l’épaule est dans un grand nombre de cas , totalement asymptomatique, et est découverte de manière fortuite (lors d’un examen comparatif de l’épaule opposée par exemple). Dans d’autres cas, elle peut être responsable de douleurs très invalidantes empêchant tout mouvement de l’épaule. Ces calcifications se rencontrent chez des sujets d’âge jeune ou moyen (25 – 55 ans ) et principalement chez des femmes, avec un pic à 45-50ans.

Au niveau de l’épaule, nous avons toute une série de tendons qui se rejoignent sous la forme d’une nappe dite « coiffe des rotateurs ». Celle-ci s’attache sur l’humérus (l’os du bras) . Chacun de ses tendons peut être porteur d’une formation calcique ( plus exactement de dépôt calcique) . Ce dépôt n’a aucun rapport avec l’usure, l’hyper utilisation de l’épaule, une notion de traumatisme ou encore l’alimentation comme beaucoup semblent le croire. L’origine de sa formation, est encore assez mystérieuse, mais il se pourrait qu’elle soit la conséquence de micro-traumatismes ou d’une irritation chronique d’une zone peu vascularisée du tendon (dite « zone critique ») qui conduiraient à une cicatrisation anormale.
 

 

Ce dépôt calcique, va évoluer dans le temps, en taille, en consistance, et occasionner ou non des douleurs,  pour TOUJOURS finir par disparaitre.  Le « Hic » c’est que la disparition « complète » du dépôt calcique peut prendre des années, voire des dizaines d’années … Des études ont permis de déterminer que 10 ans après le diagnostic d’un dépôt calcique, jusqu’à 70 % des patients présentent encore cette calcification. L’échographie que nous réalisons au cabinet, nous expose très fréquemment à cette problématique, et il est vrai qu’il est rarissime de diagnostiquer une calcification sur des patients  de plus 65 ans.
 

 

L’apport de l’échographie dans le diagnostic de la tendinopathie calcifiante est majeur, pourquoi ?
 

 

  • localisation précise du dépôt, même de taille millimétrique
  • reproduction de la douleur, lors du passage de la sonde (ce qui participe à confirmer sa responsabilité dans la douleur de l’épaule).
  • mise en évidence du dépot peu visible à la radiographie
  • démonstration de son stade évolutif (nous y viendrons plus bas).
  • identification de lésions associées (inflammation de la bourse , déchirure tendineuse, etc.)
  • recherche d’un conflit ( un frottement) lié à la calcification par des manoeuvres dynamiques ( échographie pendant que le bras bouge) .

 

 Il est assez fréquent de recevoir en consultation des patients ayant déjà réalisé une imagerie (IRM , Radiographies, …) n’ayant pas permis de visualiser le dépôt calcique. Plusieurs explications possibles, parmi lesquelles : la taille de la calcification  et sa nature. l’IRM est souvent pratiqué dans le bilan d’une épaule douloureuse, cependant sa sensibilité pour détecter des dépôts calciques de taille < 1 cm est faible, ces derniers ayant le même signal (terme technique pour dire « apparence » ) que les faisceaux tendineux adjacents. La radiographie quant à elle, permet difficilement de diagnostiquer des calcifications molles voir liquidiennes (nous y viendront plus bas) , de reconnaitre les stades évolutifs de la calcification, et sa localisation précise (dans un tendon ou à l’extérieur de ce dernier, le tendon concerné ) .
 

 

La taille de la calcification peut jouer un rôle dans la douleur, puisque nous savons grâce à la recherche, que toute calcification de plus 1,5 cm est ou deviendra symptomatique. Mais quid des autres paramètres comme sa consistance ? Quelle est l’évolution d’une calcification ?
 

 

Classiquement, cette affection évolue en 4 phases , avec des consistances différentes :

 

  • La phase pré-calcique, totalement asymptomatique. La calcification est découverte de manière fortuite à l’echographique, sous la forme d’un léger dépot linéaire.
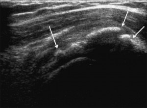
  • La phase formative . Le dépôt mesure souvent moins de 1 cm. Cette phase est de durée indeterminée, et peut être associée à des douleurs. En effet, en présence d’une volumineuse calcification , cette dernière peut déformer le tendon en l’épaississant et en le « durcissant ». De cette modification de la structure tendineuse peut résulter en un conflit (une sorte de friction douloureuse) entre le tendon et l’acromion (l’os qui constitue l’épaulette). A cette phase, la calcification peut aussi être responsable d’un processus inflammatoire autour de cette dernière qui fragilise les fibres tendineuses. A ce stade la calcification a une consistance comparable à de la pate de dentifrice ou du mastic . On l’a dit pâteuse ou crayeuse (comme de la poudre agglomérée) (Fig 1). Elle peut être aussi plus dure et de type « pierreuse »(Fig 2).
  • La phase de résorption . Le dépôt mesure souvent plus d’1cm. La calcification se vide de son contenu. Le dépôt calcique est crémeux/laiteux. Elle correspond à une phase de douleur aigue de 1 à 3 semaines.
  • La phase post-calcique . Persistance de quelques résidus possible, responsable d’une symptomatologie variable pouvant durer quelques mois.
(Fig1) . Calcification « molle » car peu absorbante à l’échographie.
(Fig2) . Calcification « dure » car peu absorbante à l’échographie.
L’échographie est d’un apport important, car elle permet d’aider à distinguer à la fois le stade d’évolution mais aussi le type de calcification  (liquide, pâteuse, pierreuse, …) ce qui va totalement conditionner le type de traitement, mais cela fera l’objet d’un prochain article.

 

Il faut retenir qu’il existe différents types de calcifications, et différents stades d’évolution. Que toutes les imageries ne permettent pas de diagnostiquer ou de distinguer les différentes caractéristiques (taille, consistance, stade d’évolution, pathologie tendineuse associée, etc) de cette pathologie aussi fréquente que mal comprise.

Dr Cyril Fischhoff DC, MSc, FRCC (imaging)

Chiropracteur spécialiste en échographie MSK

pour télécharger l’article au format pdf cliquez ici

Pour garder contact et rester informé de nos articles, inscrivez vous notre newsletter bimestrielle!