Tendon : Ce que vous et votre praticien devez impérativement savoir !

Dans un précédent article nous avons abordé succinctement la notion de « tendinopathie » au travers du cas d’un patient présentant une douleur d’épaule.
 
Les données scientifiques étant en constante évolution, nous comprenons un peu plus la pathologie du tendon, et l’intérêt d’un diagnostic aussi spécifique que possible.  L’un des chercheurs les plus pointus en la matière est le Dr Jill Cook qui est installé en Australie, et qui consacre l’ensemble de ses travaux à la pathologie tendineuse, les options de traitement, et les facteurs de risque des atteintes tendineuses.

Depuis une dizaine d’années la notion de « tendinite » (ite = inflammation) a laissé la place à la notion de « tendinopathie », depuis qu’il a été démontré,  à de multiples reprises,  qu’il n’existait pas de mécanisme inflammatoire présent dans ces tendons malades. Malheureusement la croyance en l’existence de la tendinite dans le milieu médical, a la dent dure, et la prescription ou l’auto-prescription d’anti-inflammatoires continue.  Le Dr Cook (entre autres)  a passé en revue l’ensemble des dernières données de la recherche, et est arrivé à la conclusion qu’on ne pouvait pas d’avantage parler de « tendinopathie », comme d’une seule et unique lésion ,  mais qu’il existait un réel continuum tendinopathique avec 3 phases distinctes. La reconnaissance de ces 3 phases, semble jouer un rôle majeur dans la compréhension de la souffrance du patient, mais aussi dans le choix du traitement le plus adapté. La pathologie tendineuse se développe du fait d’une surcharge tendineuse, par compression ou par tension. Cette surcharge est elle quantifiable ? Cela va dépendre de l’age, du sexe, de la masse graisseuse, des antécédents sportifs au cours de la croissance, des médicaments utilisés, de l’historique médical, etc … et est donc spécifique à chaque individu.

Les 3 phases de la tendinopathie sont chronologiquement (figure 1) :
La phase réactionnelle
La phase de remaniement
La phase dégénérative.
Source : Cook et al 2009
La phase réactionnelle :
Il s’agit d’une réponse « proliférative » non inflammatoire du tendon, en réponse à l’augmentation de la charge. Le corps produit des protéines, essentiellement des protéoglycanes (combinaison protéine/sucre) . Ces protéoglycanes sont de véritables pièges à eau, d’où l’épaississement du tendon ! Néanmoins la structure du tendon (fait de collagène type I )  reste intacte. Il s’agit d’un stade réversible, dès lors que les contraintes diminuent.
 

 

La phase de remaniement :
Si les contraintes continuent de s’exercer sur le tendon, la matrice tendineuse commence à se dégrader, avec une augmentation plus importante de production de protéoglycane et de collagène type III (de moins bonne tenue que le type I). L’augmentation des protéoglycanes, aboutit à une désorganisation des fibres de collagène qui fragilise et réduit les capacités de charge du tendon.  Plus la phase de remaniement dure, plus les chances d’avoir à faire à une lésion réversible diminuent.
Le phase dégénérative : 
La désorganisation progressive de la structure tendineuse, conduit à l’apparition progressive de zones de plus en plus importantes ne contenant plus aucune cellule en mesure de produire du collagène. Cette dégénérescencei se traduit par l’apparition de fissurations ou de déchirures plus ou moins importantes.
 
Lors des 2 dernières phases, le corps tente de relancer un mécanisme prolifératif en créant de petits vaisseaux sanguins (dont la taille et le nombre augmentent avec la dégénérescence) et des petites terminaisons nerveuses, en periphérie et à l’intérieure de ces lésions.
Quid de la douleur ? 
 
Le patient peut ressentir une douleur à n’importe laquelle de ces phases de la tendinopathie. Une phase « réactionnelle » peut passer totalement inapercue, et un patient ne ressentir des  douleurs qu’à la phase « dégénérative ».  Il faut également prendre en considération que s’il existe des mécanismes douloureux locaux intra-tendineux ou péri-tendineux (neurologiques ou biochimiques) , il existe aussi des facteurs centraux [ notion de facilitation périphérique et centrale ] que votre praticien devra prendre en compte.
 

 
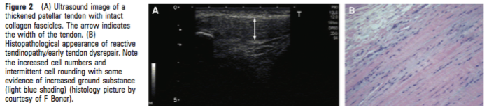
Quid de l’imagerie  (figure 2 et 3) ?
 
L’examen qui permet à ce jour de quantifier le plus précisément ce continuum est l’échographie. L’échographie permet de visualiser la structure du tendon et la présence de zones plus ou moins hypoechogènes, de quantifier son épaisseur, et grâce au doppler puissance, elle permet de déterminer la présence ou non de petits vaisseaux sanguins caractéristiques de la phase de remaniement avancée ou de la phase dégénérative.
Source : Cook et al 2009
Source : Cook et al 2009
Quid du traitement ? 
 
C’est là où la notion du continuum tendinopathique est d’un apport majeur pour votre praticien,  qu’il soit chiropracteur, médecin , physiothérapeute , ostéopathe ou autre.
Il faut d’abord bien percevoir qu’une mise au repos prolongée, n’est jamais une bonne idée. Plus un tendon est au repos, puis il perd ses capacités d’absorber la charge mécanique,  de là les risques de blessures sont accrus.

 

Si le tendon est dans une phase « réactionnelle » , il est très important d’éviter une rehabilitation qui inclue des exercices concentriques ou excentriques. Seuls des exercices isométriques peuvent être prescrits et réalisés sous surveillance lors de cette première phase. Il est donc primordial de réduire les mouvements qui combinent à la fois des contraintes en compression et en tension (pas de stretching). 
Toute procédure à visée proliférative (ex Ondes de Choc, Injection de PRP, Needling intra-tendineux, Electrolyse percutanée,  Massages Transverses profonds, Ultrasons etc) est à envisager uniquement lors de la phase de remaniement ou lors de la phase dégénérative.
 
Plus un tendon tend vers une phase dégénérative évoluée, plus le traitement à visée proliférative devra être important, idéalement combiné. En cas d’échec au traitement conservateur, la seule alternative reste la chirurgie.
Malgré l’absence d’inflammation, le traitement par anti-inflammatoire semble soulager la douleur, au stade de tendinopathie réactionnelle en inhibant la production d’une protéine responsable du gonflement du tendon. L’ibuprofène est considéré comme une des meilleures molécules pour cet objectif sans effet délétère sur la réparation du tendon. Au stade de remaniement ou au stade dégénératif les anti-inflammatoires sont à proscrire ! On peut meme envisager qu’une prescription d’AI , ou une infiltration de corticoïdes en péritendineux lors d’une phase de remaniement puissent pousser le tendon vers une phase dégénérative ….
 

 
Conclusion : Il est important de comprendre que la tendinite (inflammation) n’existe pas. Le modèle actuel, dit de tendinopathie, consiste en un continuum évoluant selon 3 phases : réactionnelle, de remaniement et dégénérative. Le diagnostic échographique revêt un intéret majeur dans la détermination de ces 3 phases, car il permet de conditionner le type de traitement le plus approprié et d’éviter tout aggravation de la pathologie.

Source :
( Cook et al 2009 ) http://www.ncbi.nlm.nih.gov/pubmed/18812414
( Mc Creesh 2013)  http://www.ncbi.nlm.nih.gov/pubmed/23837792

Dr Cyril Fischhoff DC, MSc, FRCC (imaging)

Chiropracteur spécialiste en échographie MSK

pour télécharger l’article au format pdf cliquez ici

Pour garder contact et rester informé de nos articles, inscrivez vous notre newsletter bimestrielle!