Rotator cuff Calcific Tendinopathy

By Dr Ranen Rambrij Mtech(chiro), chiropractor.

A 61 year old female presented with left sided shoulder pain and loss or range of motion of 3months duration. Shoulder pain was worse when sleeping on the left shoulder, performing exercise or lifting the arm above the shoulder.

On examination shoulder pain was worse on shoulder flexion and abduction. Muscle weakness was noted in all muscles of the rotator cuff (stabilising muscles of the shoulder).

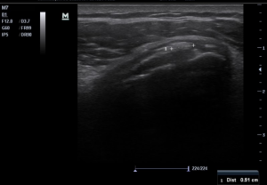
Ultrasound examination (Figures 1 and 2) conducted on the left shoulder showed 1) subscapularis calcific tendinopathy type 1 (4x5mm) and 2) infraspinatus calcific tendinopathy type 2 (14.4×15.6mm).

Figure 1. Indicates a subscapularis calcific tendinopathy
Figure 2. Indicates a infraspinatus calcific tendinopathy

Diagnosis: Rotator cuff Calcific Tendinopathy

The Rotator cuff is a name given to a group of four muscles and tendons which surround the shoulder and keep the head of the humerus tightly within the socket of the shoulder (Figure 3).  A calcific tendinopathy refers to a calcium deposit which forms within a tendon. The origin of its formation is still quite mysterious , but it could be the result of micro-trauma or chronic irritation of a poorly vascularized area of ​​the tendon (called « critical area ») which would lead to abnormal scarring. To read more on calcific tendinopathies check out our article entitled ‘All about calcifications’. 

Figure 3. Illustrates the anatomy of the rotator cuff muscles and tendons.

Treatment included perineural intramuscular electro stimulation to promote muscular activity of the rotator cuff muscles, improving stability of the shoulder and decreasing the tension on the injured part of the tendon and extracorporeal shockwave therapy to weaken the calcification and encourage absorption.

Following 6 sessions over 6 weeks of the above management protocol the patient noted an improvement in shoulder strength and no shoulder pain on range of motion, when doing exercise or at rest. 

pour télécharger l’article au format pdf cliquez ici

Pour garder contact et rester informé de nos articles, inscrivez vous notre newsletter bimestrielle!