Pubalgie des adducteurs

Mr A 27ans, consulte pour une douleur au niveau de l’aine gauche/adducteurs gauche depuis 3 semaines suite à un match de football. Au début le patient avait seulement mal lorsqu’il faisant du sport et la douleur cédait au repos, et puis progressivement la douleur s’est accentuée ne cessant plus au repos, et l’obligeant à arrêter sa pratique du football depuis maintenant 2 semaines. La douleur est constante, le patient ressent un pic douloureux à la marche au niveau de la partie supéro-interne de la cuisse G. Il ne présente pas d’antécédent particulier. 

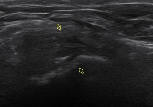
On retrouve à l’examen clinique une souffrance isolée des muscles adducteurs, le reste de l’examen est normal. Une échographie est réalisée chez ce patient montrant : une déchirure partielle du tendon du muscle long adducteur.

Que sont les muscles adducteurs ? Petit rappel anatomique

Il existe 3 muscles adducteurs : le court, le long et le grand adducteur. Ce sont des muscles s’insérant sur le bassin et se terminant à différents endroits au niveau du fémur formant une masse importante dans la partie interne de la cuisse. Ils permettent le mouvement d’adduction c’est à dire le mouvement de resserrer les genoux, ou d’amener le genou à l’intérieur.

La pubalgie des adducteurs, qu’est-ce que c’est ?

La pubalgie est une douleur de la région inguinale (aine) et pubienne qui peut être uni ou bilatérale. Elle est fréquente chez le sportif et touche principalement les footballeurs, les rugbymans, les tennismans, ceux pratiquant de l’athlétisme. Elle se situe en dedans de la cuisse, son début est souvent brutal, associé généralement à un mouvement d’écartement de la cuisse sur le muscle en contraction (ex : lors d’une passe ou d’un tir au foot, ou dans les changements de position).

Il en existe 3 types :

  • soit au niveau de l’insertion sur l’os : enthésopathie d’insertion,
  • soit au niveau du tendon : tendinopathie,
  • soit au niveau de la jonction tendon/muscle : déchirure musculo-tendineuse.

 Le diagnostic est réalisé par l’examen clinique complété par l’échographie et/ou l’IRM si besoin. Nous pouvons voir sur l’image échographique la  déchirure partielle du tendon long adducteur.

Examen échographique réalisé à notre centre, retrouve la présence d’une tendinopathie du long adducteur compliquée d’une petite déchirure partielle

° Le Traitement :

Le traitement se décompose en 3 phases :

° 1ère phase: le fonctionnel

 Le but de cette phase est de repérer des muscles potentiellement inhibés au niveau des membres inférieurs , à l’aide du testing musculaire (contro-résistance). Ensuite, nous réactivons ces muscles « endormis ». Comment ? En utilisant une technique d’electro-stimulation périneurale où l’on utilise de petites aiguilles et un léger courant électrique. Cette technique de neuromodulation permet de désensibiliser les nerfs (notamment le nerf obturateur dans ce cas) afin d’améliorer la capacité fonctionnelle du muscle et son aptitude à absorber une charge. En effet, plus les muscles sont efficaces, plus ils absorbent la charge, moins il y a de contrainte sur le tendon favorisant ainsi la mise en place des mécanismes naturels de réparation.

° 2ème phase: le structurel

Nous allons nous intéresser au site de la lésion c’est pourquoi il est primordial de l’objectiver à l’échographie et/ou à l’IRM afin d’être le plus précis possible. Pour traiter cette lésion, nous allons utiliser un appareil à ondes de choc permettant de réduire la douleur et favorisant  la régénération des tissus. Une fois la fonction rétablie et le tendon installé dans une phase de regénérescence, nous commençons une réhabilitation spécifique afin de guider dans les meilleures conditions le remodelage du tendon. 

° 3ème phase: la réhabilitation

Un professionnel se chargera de vous accompagner dans la mise en place d’exercices quotidiens de renforcement musculaire et tendineux. Ayant pour but d’obtenir la meilleure cicatrisation possible et de réduire drastiquement les risques de récidives. 

Article rédigé par :

Dr Gautier Tiberi DC, Chiropracteur

pour télécharger l’article au format pdf cliquez ici

Pour garder contact et rester informé de nos articles, inscrivez vous notre newsletter bimestrielle!