Pour comprendre le Tennis Elbow

MR T 63ans, consulte pour une douleur au niveau du coude gauche arrivée progressivement depuis 1 mois. La douleur est présente lorsqu’il pratique le tennis et le golf, aussi quand il porte de petites choses du quotidien (assiettes, poêles, casseroles …) en utilisant sa main gauche.

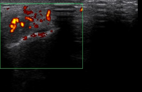
On retrouve à l’examen clinique une douleur à la palpation et à l’étirement au niveau de la partie latérale du coude gauche. Une échographie est réalisée à notre centre montrant : une déchirure partielle du tendon commun des extenseurs.

Coupe transverse du tendon commun des extenseurs démontrant la présence d’une hyperémie ( inflammation) au doppler puissance

Quels sont les muscles épicondyliens? Point anatomique :

Les muscles épicondyliens sont des muscles de la loge postérieure de l’avant-bras. Ils jouent un rôle majeur au niveau de l’extension des doigts et du poignet, exception faite au pouce.  Ainsi, ils trouvent leurs origines sur l’épicondyle latéral de l’humérus (partie latérale du coude) . Ils sont constitués du muscle extenseur commun des doigts, du muscle court extenseur radial du carpe, du muscle extenseur du petit doigt, du muscle extenseur ulnaire du carpe (voir la photo ci-dessus), a l’exception du muscle long extenseur radial du carpe qui lui a une origine supra-condylaire.

Ces muscles sont innervés par l’intermédiaire du nerf radial.  La réunion de tous ces muscles forme le tendon communs des extenseurs, c’est le tendon qui est le plus communément touché dans le  tennis elbow.

Le tennis Elbow, qu’est-ce que c’est ?

Cela se manifeste par  une douleur de la face externe du coude qui est due à une lésion du tendon  commun des extenseurs . Les muscles épicondyliens contrôlent les mouvements de la main en agissant sur les doigts ainsi que sur la stabilité du poignet. On les utilise fréquemment dans nos activités de tous les jours comme par exemple pour prendre une assiette, ouvrir une porte, tenir un stylo, se brosser les dents, écrire sur un ordinateur, prendre une douche, serrer une main,  etc …

On l’appelle tennis elbow, car chez les sportifs pratiquant le tennis, la douleur est présente lors du revers. Au début, la douleur est présente surtout lors du jeu (mouvement de revers), puis petit à petit, la douleur s’installe dans  les gestes de la vie quotidienne et pouvant devenir très handicapante.

Notre approche thérapeutique :

1ère phase fonctionnelle

Le but de cette phase est de vérifier si tous les muscles du bras gauche fonctionnent correctement (en synergie). Un mauvais fonctionnement provoque un déséquilibre au niveau de la mécanique pouvant faire perdurer la lésion et la douleur dans le temps. C’est pour cela que les muscles inhibés sont réactivés à l’aide d’une technique d’electro-stimulation périneurale permettant de désinhiber les muscles, de désensibiliser les nerfs afin de retrouver une mécanique plus adéquate.

2ème phase structurelle

Pour traiter cette lésion, nous allons utiliser un appareil à ondes de choc permettant de réduire la douleur et favoriser la régénération du tendon. Nous recherchons un effet prolifératif permettant de stimuler les fibroblastes présents sur le site. Leur role est de synthétiser et d’organiser le tissus conjonctif ce  qui à terme favorise le remodelage et la cicatrisation du tendon.
Les ondes de chocs seront appliquées directement sur la lésion afin de maximiser l’effet recherché.

3ème phase réhabilitation/conseils

Vous serez accompagné par un professionnel qui vous aidera dans la mise en place d’exercices quotidiens de renforcement musculaire et tendineux. Ayant pour but d’obtenir la meilleure cicatrisation possible et de réduire drastiquement les risques de récidives.

Article rédigé par :

Dr Gautier Tiberi DC

Chiropractor

pour télécharger l’article au format pdf cliquez ici

Pour garder contact et rester informé de nos articles, inscrivez vous notre newsletter bimestrielle!