La Paratendinopathie ... kezako ?

Un jeune cycliste professionnel nous consulte pour une douleur au tendon d’Achille survenue il y a un peu plus de 6 semaines, au cours de l’un des ses entrainements à l’étranger. Il a été immédiatement pris en charge par l’équipe médicale locale. Le traitement a consisté en des sessions de physiothérapie et 6 sessions d’ondes de choc extra-corporelles pour une « tendinopathie », sans succès.
Nous avons réalisé une échographie qui n’a détecté aucune anomalie de son tendon… et pourtant la souffrance du patient est bien réelle. L’échographie nous alors permis de mettre en évidence la présence d’une discrète anomalie en périphérie de son tendon : une para-tendinopathie  !

Le para-tendon est une gaine fibreuse (différente de la gaine synoviale que nous trouvons autour de la plupart des autres tendons, et qui fera l’objet d’un autre post) située autour du tendon qui prolonge le fascia crural (enveloppe qui entoure les muscles du mollet). Il a été observé que le fascia crural à l’origine du para-tendon et le para-tendon lui même, étaient plus épais chez les patients qui souffraient de tendinopathie.  Cette gaine est beaucoup plus vascularisée et innervée que le tendon lui même. Certains scientifiques pensent qu’il pourrait être à l’origine des douleurs ressenties dans le cadre des tendinopathies.  Ce para-tendon comporte 2 feuillets et il est solidaire du tendon permettant ainsi les mouvements de glissement de ce dernier. En cas de sursollicitation avec des frottements répétés,  il peut présenter une inflammation ou une fibrose.

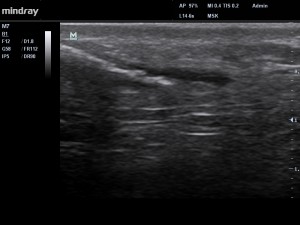
Fig1. La flèche rouge indique la présence de la paratendinopathie.
Fig2 . Etude comparative des 2 tendons, mettant en évidence la paratendinopathie.
Fig3. Le doppler puissance retrouve une inflammation active (points jaunes/rouges

Chez notre patient, l’échographie (Fig 1 – 3 ) montre la présence d’un mécanisme inflammatoire actif, avec présence d’un exsudat au niveau de para-tendon.  On parle précisément d’inflammation fibrineuse dans notre cas. SI la pathologie s’installe dans le temps, la présence de fibrinogène (grosse protéine présente dans le plasma sanguin) va conduire à la prolifération de fibroblastes (petites cellules notamment impliquées dans la fabrication du collagène et certaines protéines du tissu conjonctif ). Le para-tendon va alors s’épaissir, et des adhérences vont se former entre le para-tendon et le tendon, mettant en péril la vascularisation de ce dernier.

Fig4. Electrolyse (au moyen d’une petite aiguille d’acupuncture) écho-guidée du paratendon.

Le traitement a d’abord été fonctionnel, afin de réduire les contraintes transmises par la fascia crural au para-tendon, puis nous avons réalisé une approche écho-guidée de fenestration/électrolyse  (Fig 4) afin de limiter les phénomène d’adhérence et de retrouver une mécanique tendineuse normale.

Fig 5. Patient asymptomatique, l’échographie retrouve une diminution de l’épaississement du paratendon.

Le patient est redevenu asymptomatique après 3 ou 4 sessions (Fig 5) et a repris ses entrainements. L’utilisation des ondes de choc comme traitement initial dans ce cas précis, n’est probablement pas une bonne indication, car favorisent vraisemblablement la constitution de l’exsudat ainsi que les mécanismes de prolifération cellulaire.

Conclusion : une douleur au tendon d’Achilles, ne correspond pas nécessairement à une lésion du tendon (tendinopathie, déchirure, etc .). La paratendinopathie est une pathologie moins connue, mais qui doit être à envisagée d’autant plus que l’approche thérapeutique du patient sera différente.

Dr Cyril Fischhoff DC, MSc, FRCC (imaging)

Chiropracteur spécialiste en échographie MSK

pour télécharger l’article au format pdf cliquez ici

Pour garder contact et rester informé de nos articles, inscrivez vous notre newsletter bimestrielle!