La Fasciopathie plantaire

Mme X 75ans, consulte pour une douleur sous le talon D depuis 1 mois arrivée sans raison particulière. La douleur est présente lorsqu’elle met son poids sur la jambe D à chaque fois qu’elle marche. Lorsqu’elle est  au repos, elle ne présente pas de douleur.

On retrouve à l’examen clinique une douleur à la palpation sous le talon droit.

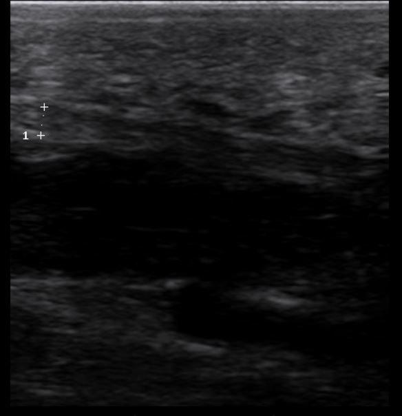
Une échographiest réalisée chez cette patiente montrant : une fasciopathie plantaire ce qui correspond à  une lésion du fascia plantaire induisant un épaississement dégénératif de celui-ci :

Echographie réalisée au centre, démontrant un épaississement du fascia plantaire ou aponévrose plantaire

Qu’est-ce que le fascia plantaire ? Point anatomique :

Le fascia plantaire est une épaisse bande fibreuse de tissu conjonctif  (= trame tridimensionnelle  supportant et faisant la jonction entre les différents tissus) qui s’étend du talon (calcanéum) jusqu’à la base des orteils et qui soutient la voûte plantaire. Il se retrouve à son étirement maximal en position debout lorsqu’il doit supporter le poids total du corps.

La fasciopathie plantaire, qu’est-ce que c’est ?

C’est une blessure au pied causée par un étirement du fascia plantaire engendrant des lésions de type dégénératives, proches de la tendinopathie , avec une perte globale de sa fonction notamment celle de support de la voûte plantaire. Cela provoque une douleur sous le talon. Ce fascia recouvre et protège les tendons ainsi que les structures profondes se trouvant sous le pied, il permet de maintenir la voute plantaire. Cette pathologie à tendance à rendre la marche difficile dès les 1ers pas.

Les sportifs sont les plus touchés car ils sollicitent plus fréquemment et intensément toutes les structures de leurs pieds.


Voici quelques facteurs de risques :


– le sport : la pratique de sport sans préparation adéquate des muscles et tendons (échauffement, reprise trop brutale), ou avec de mauvais équipements. Les sports les plus à risques sont ceux qui créer des microtraumatismes sur le pied tel que le jogging, le saut, les sports d’équipe (volley, basket, foot), le tennis et un entrainement sur un simulateur d’escalier par exemple,


– l’obésité : l’excèdent de poids accroît souvent les tensions dans la chaîne musculaires postérieur des jambes qui se répercutent sur les pieds,


– mauvaises chaussures : le port de chaussures qui soutiennent mal la voûte plantaire et le talon engendrant un déséquilibre biomécanique. C’est particulièrement le cas des chaussures avec des semelles dures ainsi que celles dont les contreforts trop mous ne stabilisent pas suffisamment les talons,


– pieds creux/pieds plats : qui naturellement étirent d’avantage ce fascia le mettant plus sous tension et augmentant les risques de le léser,


– marche ou station debout prolongé sur des surfaces dures.

Le traitement :

Il se décompose en 3 phases.

1ère phase fonctionnelle :


Le but de cette phase est de vérifier si tous les muscles du membre inférieur lésé fonctionnent correctement (en synergie). Un mauvais fonctionnement provoque un déséquilibre pouvant faire perdurer la lésion dans le temps. C’est pour cela que les muscles inhibés sont réactivés à l’aide d’une technique d’electro-stimulation périneurale permettant de désinhiber les muscles, de désensibiliser les nerfs afin de retrouver une mécanique plus adéquate.

2ème phase structurelle :

Pour traiter cette lésion, nous utilisons un appareil à onde de choc permettant de réduire la douleur et favorisant la régénération du fascia plantaire. Ces ondes de chocs sont appliquées directement sur la lésion afin de maximiser l’effet recherché. Elles déclenchent une réaction en chaîne de différentes phases. Lorsque nous appliquons ces ondes de chocs cela augmente le nombre de macrophages sur le site lésé ce qui induit naturellement une phase inflammatoire. Celle-ci sera suivie d’une phase proliférative ou de cicatrisation. Enfin la phase terminale de remodelage du fascia plantaire afin qu’il puisse retrouver sa structure initiale.

3ème phase réhabilitation/conseils

Vous serez accompagnés par un professionnel qui vous aidera dans la mise en place d’exercices quotidiens de renforcement musculaire et tendineux. Ayant pour but d’obtenir la meilleure cicatrisation possible et de réduire drastiquement les risques de récidives.

Article rédigé par :

Dr Gautier Tiberi DC, Chiropracteur

pour télécharger l’article au format pdf cliquez ici

Pour garder contact et rester informé de nos articles, inscrivez vous notre newsletter bimestrielle!