Kyste Méniscal ....une petite boule douloureuse au genou !

De nombreux patients nous consultent pour des douleurs du genou. Certaines de ces douleurs sont en rapport avec une atteinte isolée ou non, du ménisque. Nous comptons deux ménisques par genou, l’un interne et l’autre externe.

Le ménisque est un petit fibro-cartilage situé entre le fémur et le tibia.   Cette petite structure ne s’interpose pas complétement entre ces deux os, laissant persister un contact entre le cartilage du fémur et le cartilage du tibia. Il a un rôle de cale stabilisant le genou, et un rôle d’amortisseur (il absorbe de 50 à 80% des pressions en fonction de la position du genou).

Une lésion méniscale isolée ne retentit cependant pas beaucoup sur la stabilité du genou tant que les ligaments sont intacts. Mais cette lésion entraîne un risque d’arthrose (usure du cartilage) plus tard, surtout si le ménisque a du être enlevé.

L’imagerie de choix pour identifier l’ensemble des lésions du ménisque est l’IRM. Cependant dans certains cas , l’échographie permet de suspecter voir d’identifier certaines de ces lésions. C’est le cas de notre patient.  Il s’agit d’un homme de 52 ans, qui consulte pour une douleur de genou installée depuis 3 ans. Il décrit une « petite boule douloureuse » sur la partie interne de son genou. Les mouvements de type « squat » lui sont impossibles. Il nous présente des radiographies qui démontrent la présence d’une arthrose entre le fémur et le tibia.

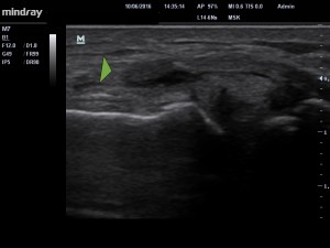
image 1. Kyste méniscal (petite « boule noire » collée au ménisque interne ).

L’examen échographique (image 1 ) retrouve la présence d’un ménisque très hétérogène « bombant » au delà de ses limites normales, mais également d’une  « boule ‘noire’ » collée au ménisque, qui correspond à un kyste méniscal.  L’ensemble est contenu par un ligament (Medial collateral ligament) qui apparait distendu.  Ce kyste, contient une sorte de substance épaissie « mucoïde » et est en rapport avec la dégénérescence du ménisque.

C’est ce kyste qui correspond à la petite induration douloureuse que ressent le patient.

image 2. Electrolyse du ménisque.

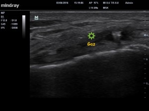
Le traitement a consisté dans un premier temps à « électrolyser » le contenu de ce kyste sous contrôle échographique (image 2). L’électrolyse permet la formation de NaOH (soude biologique) qui a pour effet de détruite et de liquéfier le kyste , et à la formation de Cl2 et de H2 qui sont des gaz apparaissant « blanc » en échographie (image 3) confirmant la bonne exécution de la procédure .

image 3. Visualisation du « gaz » formé par électrolyse.

Une semaine après l’électrolyse le patient ne présente plus cette induration douloureuse. L’échographie démontre une nette diminution de la taille du kyste (image 4) , une nouvelle électrolyse est alors réalisée. Le reste de la prise en charge a consisté en une approche fonctionnelle centrée sur le soutien musculaire et ligamentaire du genou, et en une amélioration de contrôle moteur par un suivi en réhabilitation. 

image 4. Nette diminution de la taille du kyste à J7.

Dr Cyril Fischhoff DC, MSc, FRCC (imaging)

Chiropracteur spécialiste en échographie MSK

pour télécharger l’article au format pdf cliquez ici

Pour garder contact et rester informé de nos articles, inscrivez vous notre newsletter bimestrielle!