Une douleur cervicale pas comme les autres ....

Dans l’article  « Tout sur la calcification », nous avons abordé la genèse et les différentes phases d’évolution de la calcification de l’épaule.  Dans ce papier nous essayons de tracer les grandes lignes de la prise en charge de cette affection.

 

Nous l’avons vu, la calcification évolue selon 4 phases que l’échographie nous permet de distinguer. La première, LA PHASE PRE-CALCIQUE est totalement asymptomatique. Elle ne nécessite pas de traitement , d’autant que la littérature scientifique ne permet pas d’établir qu’à ce stade,  le dépôt calcique évoluera vers une phase formative.

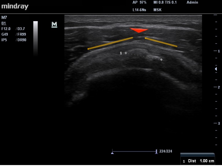
LA PHASE FORMATIVE, est certainement la phase où nous recevons le plus de patients en consultation. Très clairement : plus la calcification est volumineuse (> 1cm) et plus elle déforme le tendon ( Images 1 et 2) donc plus le risque d’avoir une épaule douloureuse est important.  Les douleurs peuvent durer des mois , voire des années, si le patient non traité,  n’a pas la « chance » d’avoir une résorption spontanée. Il existe toute une série de traitements possibles lors cette phase :

Image 1. Calcification de type 2, dont une partie déforme le tendon (flèche rouge)
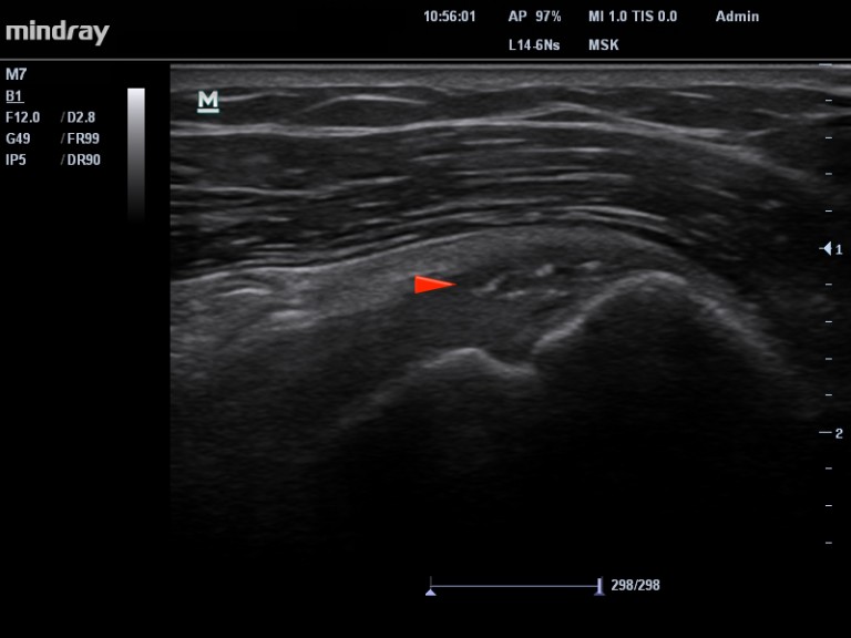
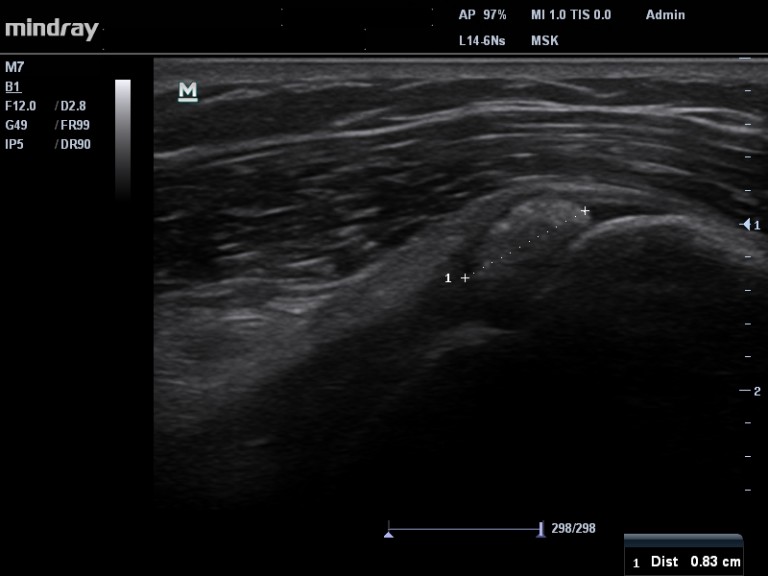
Image 2. Calcification de type 2, en cours de traitement. Amélioration symptomatique du patient. La structure de la calcification change, la déformation tendineuse est moins importante.

Le traitement fonctionnel Ce type de traitement ne vise pas à favoriser la résorption la calcification, mais s’adresse au contexte « biomécanique » dans lequel cette calcification s’inscrit. Il a été relevé que moins de 16% des patients présentant une calcification douloureuse, montraient des signes structurels (acromion crochu)  favorisant le conflit sous-acromial (cf l’article ‘tendinite …’). Dés lors, l’hypothèse est que si une calcification est volumineuse et dense, elle devient la cause « suffisante  » d’un conflit sous acromial et donc de douleur. Une autre hypothèse est qu’avant la phase de résorption, la calcification peut être responsable d’un mécanisme inflammatoire qui fragiliserait les fibres tendineuses périphériques et expliquerait la douleur. Le traitement fonctionnel prend alors toute sa place. Il s’agit d’améliorer la coordination et la capacité des muscles de l’épaule et du cou pour permettre un mouvement normal, afin de minimiser les contraintes sur les tendons de l’épaule. Les exercices ont une place prépondérante, mais également des techniques de stimulation intramusculaire telles que celles que nous développons au cabinet. . Au delà du paramètre « biomécanique », les patients consultant en phase « formative » présentent souvent une douleur chronique.

Il s’agit alors de s’intéresser aux mécanismes périphériques et centraux de la douleur par des traitements physiques ou médicaux . (notion que nous avons développé dans notre article sur la douleur chronique).

Parmi les traitements « invasifs », l’infiltration d’un corticoïde dans la bourse sous acromiale peut-être proposée. Si l’effet sur la douleur peut-être intéressant à plus ou moins  moyen terme,  la recherche ne permet pas de conclure sur leur capacité à faciliter la résorption du dépôt calcique. Au contraire, certains auteurs pensent que les corticoïdes pourraient retarder les mécanismes de résorption.

Le traitement de la calcification . Il peut être envisagé en parallèle ou en cas d’échec de l’approche fonctionnelle. Plusieurs techniques possibles :

 Les ondes de choc extracorporelles. Le principe général, est de fragiliser la calcification pour favoriser sa

résorption par la transmission d’une onde acoustique jusqu’à l’interface tendon/calcification (efficacité 60-70 %). Le ciblage se fait grâce à l’échographie. IL existe 2 types d’ondes de choc : les ondes de choc dites radiales (de basse et moyenne énergie) et les ondes de choc dites focales (de haute énergie). IL s’agit de machines totalement différentes. Plus une calcification sera dure / dense , mieux elle répondra au traitement par ondes de choc focales, et moins elle répondra au traitement par ondes de choc radiales. Une dépôt calcique qui est  « crémeux » ne répondra pas au traitement par Ondes de choc. L’échographie joue un rôle majeur puisqu’elle permet d’étudier la « consistance » du dépôt calcique, et ainsi poser l’indication du traitement.

La trituration. C’est une technique qui consiste à fragiliser la calcification par une aiguille pour favoriser sa résorption. Elle s’applique à la calcification pierreuse très dure. L’inconvénient est le risque de fragmentation et la difficulté à postériori de réaliser un lavage de la calcification voire un traitement chirurgical.

La ponction-lavage (efficacité près de 80% à 1 an) . C’est une technique réalisée sous contrôle échographique, qui consiste à injecter du sérum physiologique sous pression dans la calcification, pour ensuite aspirer le contenu de cette dernière. La procédure permet de favoriser la résorption de la calcification. L’inconvénient est que la coque calcique ne doit pas être trop dure, et la calcification pas trop petite ( > 5 mm). Les calcifications polylobés (plusieurs dépôts successifs) ont tendance à donner de moins bons résultats avec cette procédure. Le gros avantage est une amélioration des douleurs dans la majorité des cas, en quelques jours.

L’injection de PRP (Plasma Riche en Plaquettes). Pas d’indication encore claire à ce jour. En cas de douleur persistante après la phase de résorption ou après un lavage de la calcification, le PRP pourrait favoriser l’accolement des parois de la cavité, et la cicatrisation du tendon. L’Electrolyse percutanée que nous utilisons au cabinet, pourrait également favoriser l’accolement des parois de la cavité.

LA PHASE DE RESORPTION :

 

Le dépôt calcique libère des cristaux dans les tissus avoisinants. Cette libération soudaine, va générer une inflammation telle que le patient se présente avec une épaule « gelée » par la douleur, aussi appelée l’épaule calcifiante aigue. Dans l’immense majorité des cas, la phase inflammatoire s’estompe en une dizaine de jours et le patient devient asymptomatique (Images 3 et 4 ) . Aucun traitement n’est habituellement nécessaire. Cependant en cas de douleur importante, insomniante, on peut recommander au patient  une infiltration de la bourse sous acromio-sous deltoidienne.

Si des douleurs persistent après la crise hyperalgique, alors la logique de traitement reste la même que pour la calcification en phase formative.

Image 3. Calcification en phase de résorption. La patiente consulte pour une douleur importante à l’épaule.
Image 4. Echographie de la même patiente , qui ne présente plus de douleur. L’échographie démontre la résorption quasi totale du dépôt calcique.

Chirurgie :

Elle doit être recommandée pour les patients ayant une douleur / incapacité suffisamment importante, malgré un traitement conservateur qui aura été bien conduit sur une période minimale de 6 mois.

Le chirurgien orthopédiste aura différentes options. La première consiste à « aspirer » le contenu de la calcification sous arthroscopie, puis à « laver » l’articulation gléno-humérale et l’espace sous acromial pour éviter de laisser un petit fragment calcique.

(Lavage sous arthroscopie d’une calcification de la coiffe des rotateurs. Remerciements au Dr Philippe Soubrane pour ses images, chef du département orthopédie, Apollo Bramwell Hospital, Moka, Ile Maurice.)

En plus de la procédure précédente, une deuxième option, peut consister à réaliser une acromioplastie (intervention qui consiste à retirer une petite épaisseur d’os / ligament pour favoriser le glissement des tendons). Les facteurs qui auraient tendance à conduire le chirurgien à réaliser une acromioplastie, sont la présence d’un acromion avec une morphologie agressive, la présence lors de l’arthroscopie de signes prouvant la présence d’un conflit sous acromial (comme une petite déchirure partielle des tendons).  La présence de dépôts calciques diffus et non circonscrits à une seule zone.

(Acromioplastie sous arthroscopie. Remerciements au Dr Philippe Soubrane pour ses images, chef du département orthopédie, Apollo Bramwell Hospital, Moka, Ile Maurice.)

Enfin une 3eme option, peut consister à « réparer » le tendon après avoir évacué la calcification, à priori lorsqu’il s’agit de dépôts larges (> 2 cm).

En conclusion, il faut retenir l’importance de catégoriser le type de calcification, sa nature, sa taille, sa clinique, pour non seulement établir un pronostic mais surtout s’orienter vers une prise en charge adéquate.

Dr Cyril Fischhoff  DC, MSc – Chiropractor, Musculoskeletal Sonography

Dr Cyril Fischhoff DC, MSc, FRCC (imaging)

Chiropracteur spécialiste en échographie MSK

pour télécharger l’article au format pdf cliquez ici

Pour garder contact et rester informé de nos articles, inscrivez vous notre newsletter bimestrielle!